
Smile make over at ekdantam dental
Smile make over ! 45 year old male lived almost half his life with huge gaps between teeth ! Direct

Smile make over ! 45 year old male lived almost half his life with huge gaps between teeth ! Direct

Multiple carious lesions treated with direct composite restorations !Protective fluoride application to prevent further destruction

Digital Smile Designing Case of 6 Emax Ceramic Veneers Happy Patient Keep Smiling 10 Year

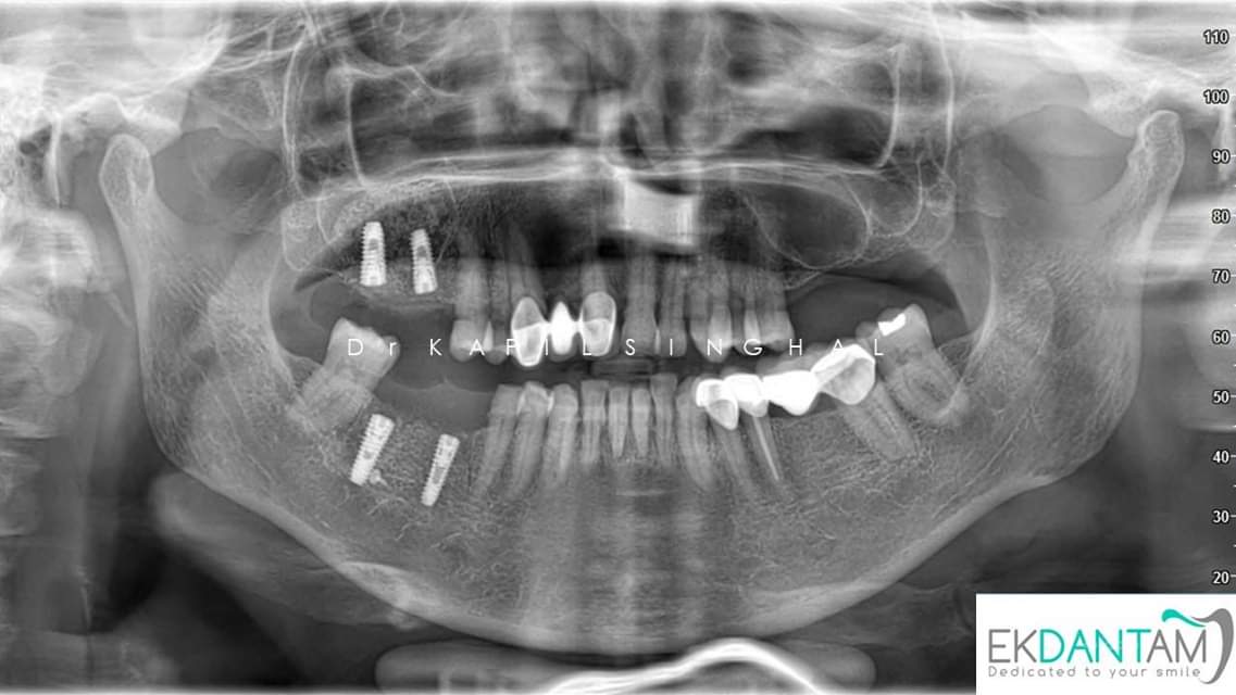
RIDGE SPLIT , GBR (GUIDED BONE REGENERATION ) & Direct sinus lift and Simultaneous Dental

Intraoral Welding and Fixed interim prosthesis in a Day. Implants Placed 6 Months Before At

A case of Immediate dental implant in lower right First Molar with customized healing cap