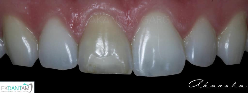
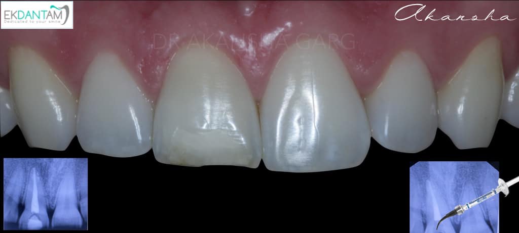
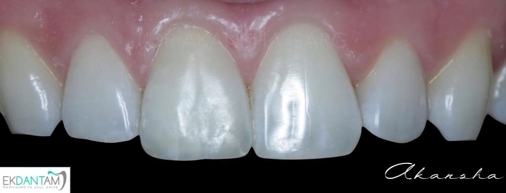
Being gentle to Tooth. It sounds very easy to do subtractive dentistry and grind the tooth and place Crown. The best dentistry is additive dentistry when you save what you have and just replace what’s missing. Case of discoloured tooth due to trauma and Rct years back. Non invasive approach- non vital bleaching followed by composite Incisal edge build up




